矯正歯科について
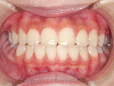
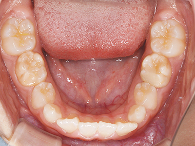
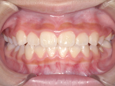
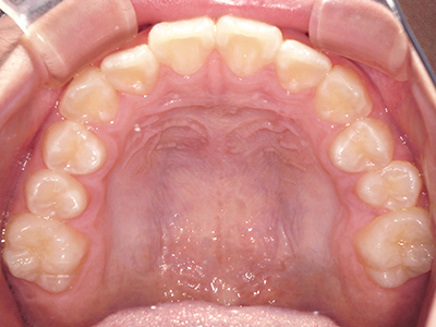
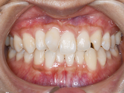
ないき歯科クリニックでは、これからあごが成長していくお子様や、歯並びが気になる成人の方など、さまざまな年代の方に対して矯正治療を行っています。
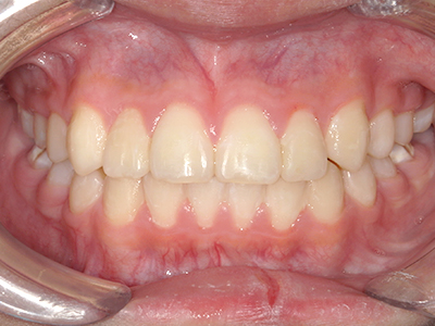
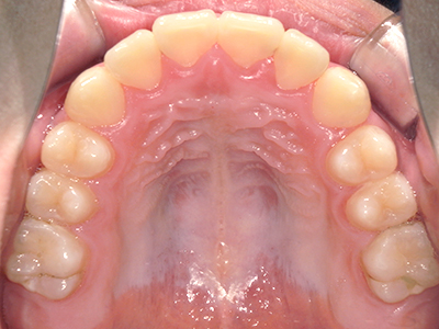
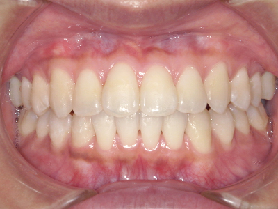
歯並びやかみ合わせを正しく整えると、笑顔や発音の自信につながり、むし歯・歯周病・口臭の予防にも役立ちます。
小児矯正について

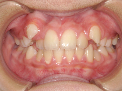
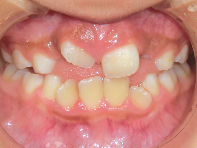
「うちの子は矯正が必要なのだろうか?」
「いつ頃から始めたらいいの?」
など、
保護者の方からのご質問をよくいただきます。
保護者の方が不安に思われたり、保育園・幼稚園・小学校などから歯科検診の結果票が届いたりした時点で、一度お子様連れでご来院ください。
お口を拝見し、矯正治療の要否や今後の受診についてお話しさせていただきます。
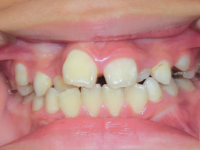
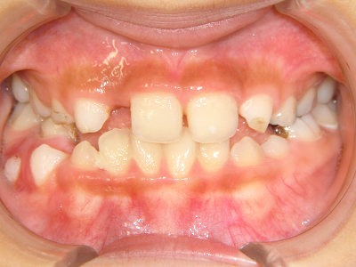
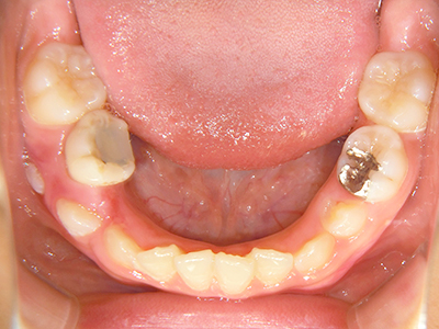
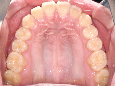
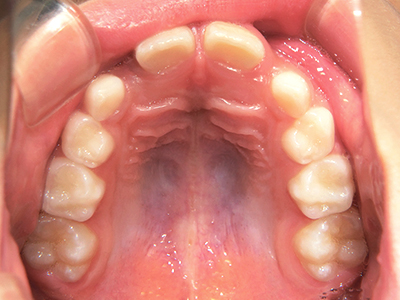
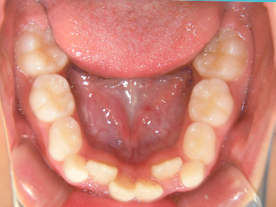
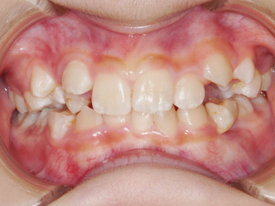
そしていわゆる「おくちポカン(口呼吸)」状態について。
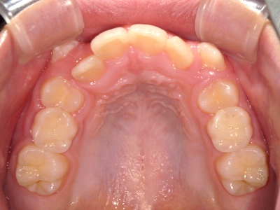
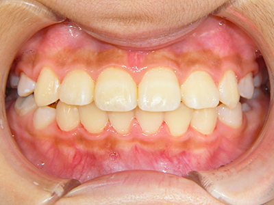
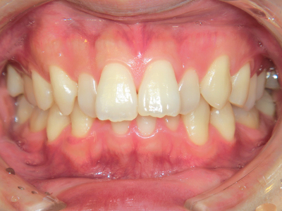
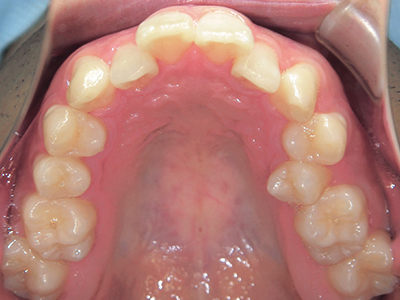
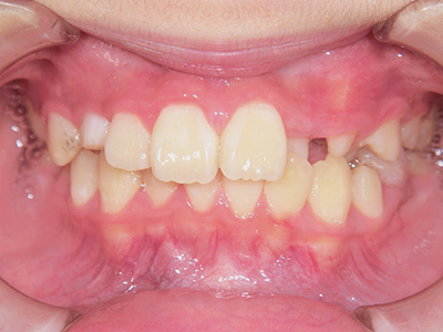
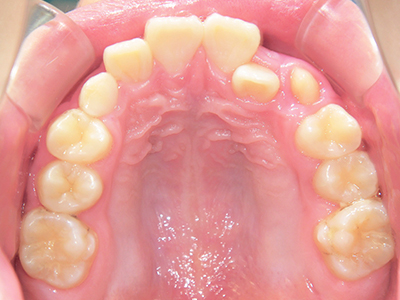
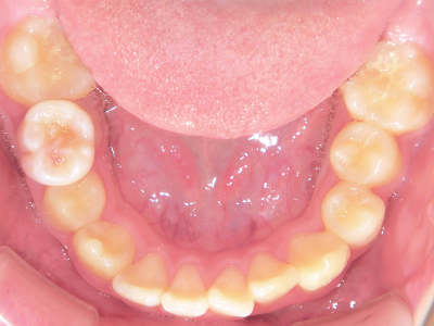
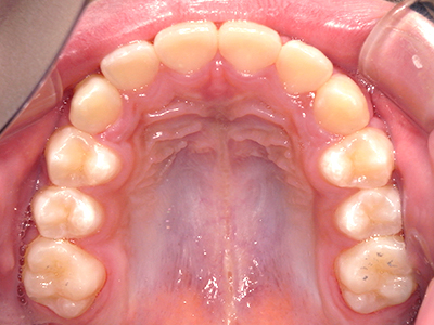
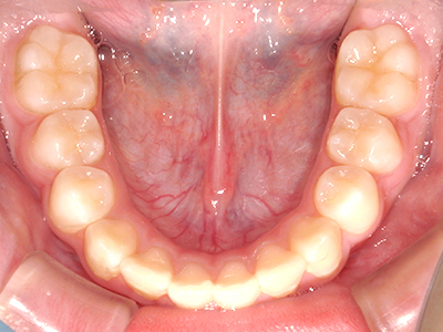
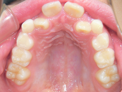
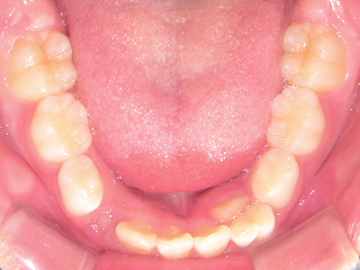
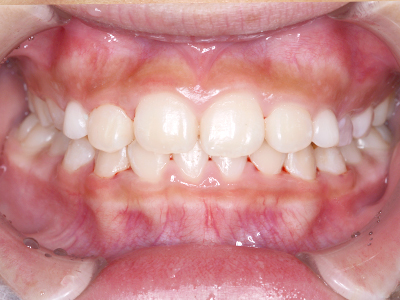
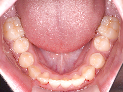
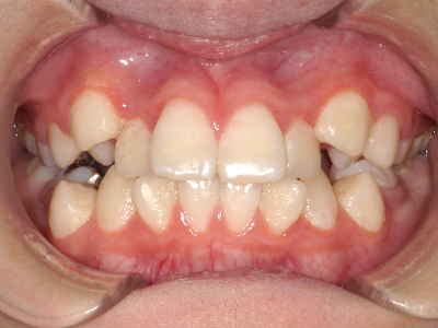
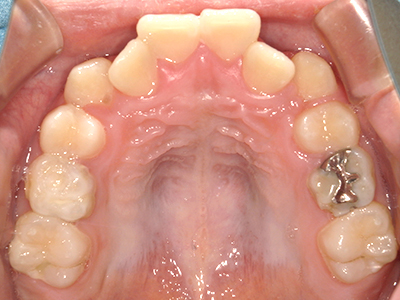
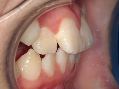
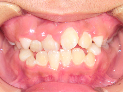
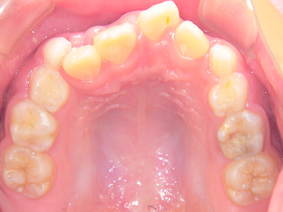
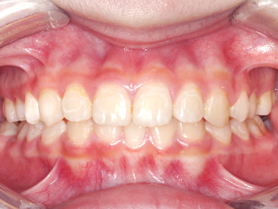
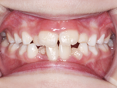
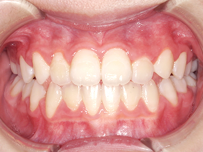
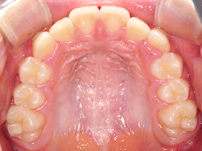
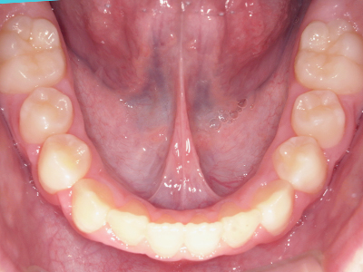
歯並びの相談に来られるお子様は、口呼吸をしているケースが多く、これが歯並びに大きな影響を与えています。
- 口呼吸をしている
↓ - 舌の位置が悪くなる
↓ - 頬の圧力が上の歯列にかかりやすくなる
↓ - 上あごが狭くなる
↓ - 下あごが狭くなる・下あごの位置が悪くなる
↓ - さまざまな不正咬合が生じる
ないき歯科クリニックでは、上あごの成長不足を補い、鼻呼吸を獲得しつつ歯列を整え、将来のお口をより健康な状態にすることをゴールに定める矯正治療をおこなっています。
矯正治療の流れ

矯正治療について、カウンセリングから保定期間までの流れをご紹介いたします。
【1】カウンセリング

矯正治療の方法や治療期間、料金などの概略についてご説明いたします。
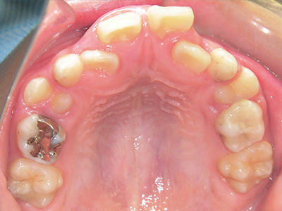
【2】精密検査

【3】分析診断・治療計画のプレゼンテーション

検査結果を分析し歯科医が診断します。ご希望を考慮し、正しい歯列になるために必要な治療計画を、料金を含めて提案いたします。
治療計画・料金にご不明な点がございましたらなんなりとご質問ください。
納得されましたら治療同意書を提出頂き、矯正治療開始となります。
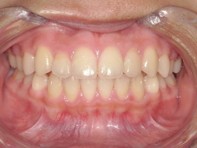
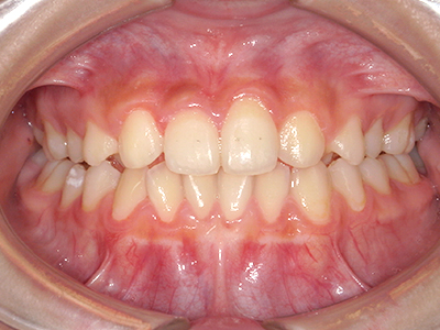
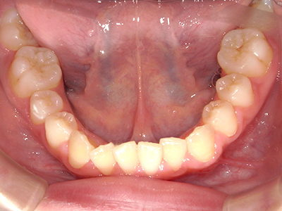
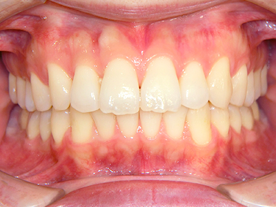
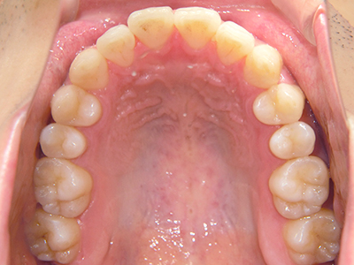
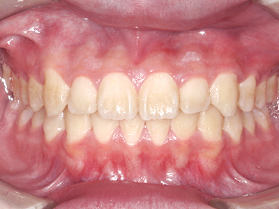
【4】矯正治療

矯正装置を装着し、調整しながら少しずつ歯を移動させ、歯並びを整えていきます。
状態によって家庭でのトレーニングが必要な場合もあり、治療期間も個人差があります。
あくまでも平均値ではありますが、一般的には月1回程度来院頂き、1~2年程度を目安に治療を進めていきます。
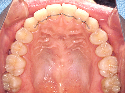
【5】保定期間

治療後の一定期間は、定期的にチェックを行い経過観察していきます。
主な矯正料金
※全て税込料金で記載しています
| カウンセリング | 無料 (お電話にて日時をご予約ください) 治療の必要性の有無、治療開始のタイミング、費用など矯正治療の概要についてのご質問にお答えします ※個別の詳しい治療法・費用については精密検査(下記)が必要です |
| 精密検査・CT撮影・分析診断 | 44,000円 |
| 鼻呼吸獲得を含むⅠ期矯正
| 440,000円~ ※料金加算のケース・・・萌出障害(先天欠如・歯胚位置異常・萌出遅延・過剰歯・癒合歯・捻転歯など)がある場合 |
| Ⅱ期矯正(中学生) | 715,000円~ |
| Ⅱ期治療(高校生) | 770,000円~ |
| 成人(18歳以上)の全顎矯正 | 880,000円~ |
| LOT(限局矯正) | 基本料 77,000円+歯数×38,500円 |
| 便宜抜歯(1歯) | 11,000円~ |
| インプラントアンカー(1本) | 22,000円 |
| 月額管理料 | 4,400円 |














































































































